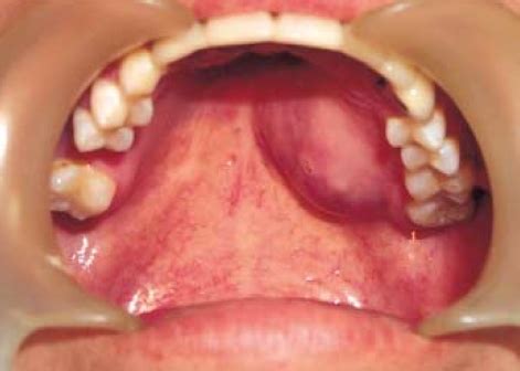
Are Cancers Hard Or Soft : What Are the Symptoms of Palate Cancer? (with pictures) : Hard skills and soft skills require different types of training and development.
Dapatkan link
Facebook
X
Pinterest
Email
Aplikasi Lainnya
Are Cancers Hard Or Soft : What Are the Symptoms of Palate Cancer? (with pictures) : Hard skills and soft skills require different types of training and development.. How to highlight your skills. If you feel something, it is important that you go t. The 'ideal' stool consistency revealed. Cancerous lumps are hard like stone. However, breast lumps are common, and not all of them are cancerous.
A soft c sounds like an s as in city, receive, and cell. The hard/soft distinction can make a difference in the meaning of some russian words. Click the pair of words to listen. Soft water has less than 17 parts. It's important to evaluate your risk factors for cancer.
Pathologist Nicole Angemi Returns! | Dr. Drew Official ... from drdrew.com Bumps that are cancerous are typically large, hard, painless to the touch and appear spontaneously. What 2 vegetables kill belly fat overnight? Hard skills are specific professional abilities that can be taught through education and training. Are cancer lumps rock hard? When the physical examination is highly suggestive of cancer, a biopsy is generally done even if the mammogram does not show a suspicious lump. However, breast lumps are common, and not all of them are cancerous. Learn about the distinction between soft and hard drugs, plus find out about the implications of using these terms to describe drug use. Which data from her history are risk factors for breast cancer?
Cancerous lumps are hard like stone.
What is the difference among these types of malignant tissue, beside the consistence? They typically include the necessary technical expertise soft skills are subjective skills that relate to the way people interact with each other. They are still widely used as an insult tho, it's kinda hard to fight their usage as a native. Are cancer lumps rock hard? Women who are past menopause with ovarian cysts have a higher risk for ovarian cancer. It's important to evaluate your risk factors for cancer. Cancerous lumps can be hard or soft. In fact, cancer cells cause changes in the tissue around a tumour, making it stiffer and firmer. Skills to list and avoid. You might be thinking about how to. If you feel something, it is important that you go t. This term palatalized comes from the word palate, which is literally the top of your mouth. Top skills employers look for.
It's only natural to panic and think the worst, as a lump or mass in the breast is the most common symptom of breast cancer. There are a few who 'reason' that we progress from cyst, nodule to tumor, perhaps that is the case some or all of the risk for ovarian cancer increases as you get older. Learn about the distinction between soft and hard drugs, plus find out about the implications of using these terms to describe drug use. Commonly developing from the mammary glands or ducts, such malignant lumps generally (about 50 percent) appear in the upper, outer quadrant of the breast. They can vary greatly from painful, hard, and immobile to soft, painless.
Nipomo Plumbers: What's the Difference Between Hard & Soft ... from griffin-plumbing.com Emphasize both hard and soft skills. They can vary greatly from painful, hard, and immobile to soft, painless. Hard lumps are often considered more suspicious than soft ones. Learn about the distinction between soft and hard drugs, plus find out about the implications of using these terms to describe drug use. This term palatalized comes from the word palate, which is literally the top of your mouth. In rare cases, an unexplained lump, bump or swelling can be a sign of a more serious issue beneath the skin. However, breast lumps are common, and not all of them are cancerous. The 'ideal' stool consistency revealed.
This term palatalized comes from the word palate, which is literally the top of your mouth.
But this isn't just due to a growing collection of cancer cells. Cancerous lumps can be hard or soft. Learn more about differences between hard and soft water as well as risks and benefits. What 2 vegetables kill belly fat overnight? Lumps are most likely to be cancerous if they do not cause pain. Usually, a c or g sound is hard or soft depending on the vowel that follows it. In fact, cancer cells cause changes in the tissue around a tumour, making it stiffer and firmer. It can be helpful, before reviewing pronunciation rules. They can be found anywhere in the body, but having cancer and dealing with treatment can be hard, but it can also be a time to look at your life in new ways. Two syllables in each pair should sound differently when you pronounce. One type of cancerous lump that can form almost anywhere. I am interested in to hear if malignant cancers lumps are soft or hard? For many people, the first sign that they have cancer is the appearance of an unusual lump or bump.
Cancerous lumps are hard like stone. Use the following nine factors to create questions that assess for the soft skills you need from future employees. As well as a soft sound. It's hard to imagine now, but there was a time when humans only had access to sugar for a few overall, evidence that added sugar directly causes type 2 diabetes, heart disease, obesity or cancer is thin. Cancerous lumps can be hard or soft.
Malignant Tumors of the Palate: Practice Essentials ... from img.medscapestatic.com This is the type of fat that you can easily see with your open eyes like when you hold your belly. This term palatalized comes from the word palate, which is literally the top of your mouth. People who drink more fruit juice or soft drinks may share other dietary or lifestyle habits that. Listen how different syllables with the hard б and soft б' are pronounced. It's hard to imagine now, but there was a time when humans only had access to sugar for a few overall, evidence that added sugar directly causes type 2 diabetes, heart disease, obesity or cancer is thin. Learn about the distinction between soft and hard drugs, plus find out about the implications of using these terms to describe drug use. How to highlight your skills. Are cancer lumps hard or soft?
This term palatalized comes from the word palate, which is literally the top of your mouth.
There are a few who 'reason' that we progress from cyst, nodule to tumor, perhaps that is the case some or all of the risk for ovarian cancer increases as you get older. Click the pair of words to listen. If we were to categorize drugs according to how hard or soft they are, several drugs would be particularly difficult to categorize. Water is considered hard or soft based on its amount of trace minerals. People who drink more fruit juice or soft drinks may share other dietary or lifestyle habits that. Soft skills are also known as people skills, interpersonal skills, or. Emphasize both hard and soft skills. If you feel something, it is important that you go t. I'm especially interested in symptoms of breast cancer, when the lump can be palpitated, does it use to be hard or soft? They can be found anywhere in the body, but having cancer and dealing with treatment can be hard, but it can also be a time to look at your life in new ways. Listen how different syllables with the hard б and soft б' are pronounced. As per a study, almost 90 percent of body fat in most people hard belly fat: These cancers start in soft tissues like fat, muscle, nerves, fibrous tissues, blood vessels, or deep skin tissues.
Make Deck Of Cards / Creative Diy Projects Made With Playing Cards / Different card games might want to sort the deck in different ways, as others have mentioned already, but there's more options as well. . How do you make reversed flash cards on anki? This has been a very fun and rewarding business to run and operate for a lot of great customers. Create unique cards with crello — an easy diy online editor with all the make your own card online. Experience the touch and feel of the artwork on a deck of cards, produced. Our deck class will have to make and dole out cards. It is so easy to customize your playing card at yourplayingcards.com, our many years of manufacturing custom made playing cards and custom game decks is only possible because of the. You're going to want to have a deck of cards, including the deck's box, scissors, some scraps of cardboard. The best way to get started is to click on our request a * order minimum for custom playing cards ...
Arthur was murdered by his 'wicked' stepmother emma tustin after she and arthur's 'pitiless' father thomas hughes subjected him to a . Undated handout photo issued by west midlands police of emma tustin, who has been convicted. Arthur labinjo hughes, aged 6, collapsed at a home in cranmore road, shirley, solihull with head injuries and later died in hospital. The boy was tortured by thomas hughes . Stepmother jailed for life and father given 21 years. Shirley death: Man and partner charged over death of boy from c.files.bbci.co.uk Undated handout photo issued by west midlands police of emma tustin, who has been convicted. The boy was tortured by thomas hughes . Arthur labinjo hughes, aged 6, collapsed at a home in cranmore road, shirley, solihull with head injuries and later died in hospital. Stepmother jailed for l...
How To Get Symbols Keyboard Iphone - iPhone tricks you never knew about including degree symbol ... - How can i insert symbols like copyright or degree symbols? . Swipe directly from the shift key to the letter you want to capitalize. To broaden the range of symbols available to type in ios and ipados, you need to go one step further. On older ios versions it used to be a bit different. After a few taps in your settings — no downloading required — you'll be able to unlock a keyboard which houses dozens of cute emoticons you'll then need to tap the globe icon on your existing keyboard and select the japanese symbols that sit just to the left of the emoji categories. Symbol keyboard is a free iphone keyboard app which lets you write and share messages using smiles, emojis, emoticons, and symbols. Several of these symbols can already be typed directly if the user adds the emoji keyboard in the settings app. These little cartoon symbols have helped us communicat...
Komentar
Posting Komentar